Laser Dentaire - téléchargez le lecteur flash
contacts
French
French version
Laser Dentaire - téléchargez le lecteur flash
 

Treatment photos and videos

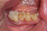
2. Carie on molar

Carie sur molaire

before treatment

Carie sur molaire

after laser treatment

Carie sur molaire

after restoration

 
To see the videos you need to get Flash player, download here
Copyright 2008 © Dental Laser| Acoro