Laser Dentaire - téléchargez le lecteur flash
contacts
French
French version
Laser Dentaire - téléchargez le lecteur flash
 

Treatment photos and videos

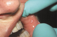
5. Fibroma removal

Chirurgie de fibrome

Before treatment

Chirurgie de fibrome

Immediate post op

Chirurgie de fibrome

2 weeks after treatment

 
Copyright 2008 © Dental Laser| Acoro